3307
Skip to content
Request Appointment
Office Hours
Office Hours
Day
Hours
M
8:00 am - 5:00 pm
T
8:00 am - 5:00 pm
W
8:00 am - 5:00 pm
T
8:00 am - 5:00 pm
F
8:00 am - 5:00 pm
Email Us
google social button
facebook social button
instagram social button
(636) 265-1995
Seim Orthodontics
Menu
Home
About Us
About Us
Meet Our Team
Blog
Dr. Lisa Seim
Treatment
Treatment Options
Traditional Braces
Clear Ceramic Braces
Invisalign
Early Orthodontic Treatment for Children
Technology
Patients
New Patients
Patient Portal
Reviews
Before and After
FAQs
Contact Us
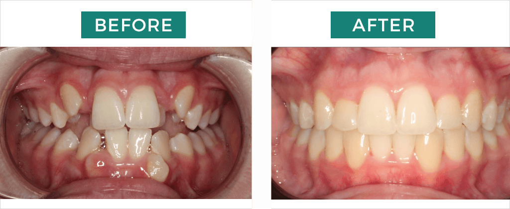
Seim Orthodontics Smile Gallery
Our Patients’ Before & After Results
Smile Gallery
Seim Orthodontics Smile Gallery | (636) 265-1995